
ホーム > こどもの矯正
MFTとは、口腔筋機能療法ともいいます。
舌に癖があると、色々な障害がでてきます。
1.初診・資料取り
2.分析・診断
3.トレーニング開始
4.トレーニング終了
5.定期健診or矯正治療開始
スポットとよばれる位置に舌がついている状態。
日頃、無心になって本を読んだり、テレビを見ているときに口をポカーンと開けて上下の歯の間に舌が出ていたり、 飲みこむときに舌をつき出し、歯を押すような癖を舌癖といいます。 歯ならびに悪い影響を与えない正しい飲みこみ方は、唇を閉じて舌を上あごにつけ、奥歯をかみしめ、のどを使って飲みこみます。 舌癖のある人は、いつも舌が口の中の下の方や前の方にあり、歯を押しています。 そして飲みこむときには、さらに押し出す強い力が歯に加わります。 舌癖のある人はいつも口を開けているため、舌が内側から歯を押す力に対して、外側から押さえる唇やほほの筋肉に力がありません。 また、話そうとするときにその隙間に舌が入るため、サ行、タ行、ナ行、ラ行などが舌たらずな発音になることもあります。
・開咬(前歯が開いている)上顎前突(いわゆる出っ歯)反対咬合(受け口)をおこす。
・矯正治療が順調に進まず、矯正治療後に後戻りすることがある。
・歯並びが崩れたり、舌の癖によって歯ぐきや歯を支える骨が弱る可能性がある。
・発音がしにくくなる(サ行、タ行、ナ行、ラ行)
|
舌のトレーニング |
|
水を飲むトレーニング |
|
唇のトレーニング |
初診(資料作成) 5250円
処置費 2100円
舌を噛むだけで、前歯が閉じなくなります。
唇をなめるだけで歯は「出っ歯」になりました。
下あごを押し付けているので、咬み合わせがずれました。
指しゃぶりで前歯に隙間があいてしまいました。
やわらかい食事ばかりでは、アゴが成長しません。アゴが育たなければ、スペース不足で歯並びは悪くなります。
乳歯列なのに歯と歯の間に隙間がないと危ないです。
口を開いていると、顔がくずれます。特に「出っ歯」になりやすいです。
口呼吸にもなり、全身の免疫力を低下させてしまいます。
唇の周囲の筋肉(口輪筋)が弱いとだらしのないお顔になってしまいます。
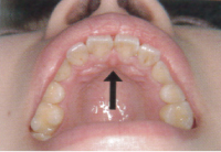
舌の正しい位置というのがあります。それは、上の前歯のすぐ裏の歯肉が盛り上がっているところ
(切歯乳頭)に舌の先が軽く触れている状態。
普段、舌が低い位置にあると(低位舌)舌アゴが押されて受け口になります。
飲み込む時に舌を出すクセがあれば前歯がかみ合わなくなります。
歯科矯正といっても、色んな装置があります。
一般的に見られる、歯の表面にワイヤーをつける物だけではないんです。
他にはどんなものがあるか、見てみましょう★
顔の外に装置の大部分がでていて、夜間に装着します。
|
目的 |
上あごの成長を抑えます。 |
|
|
| 横から見ると・・・ 首の後ろからゴムバンドでひっかけています。 |
|
使用方法 |
口の中につけた、装置のチューブに器具を差し込みゴムバンドで固定します。 |
|
目的 |
上あごの成長促進のために使います。 |
|
|
|
使用方法 |
口の中に付けたフックにゴムを使って装着します。 |
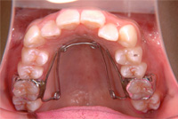
口の中に装置がついていて、常に装着したまま。
|
目的 |
奥歯にバンドを装着し、歯を目的の方向へうごかします。 |
|
※装着当初は、違和感があり喋りにくく食事もしにくい。 大体が歯並びのずれた成長期に使用しますが、大人でも 奥歯の固定の為に使用する事もあります。 |
|
舌側にワイヤーがはいっています。 |
|
|
※違和感があり、話しにくい感じがありますが、 2〜3日でなれます。 |
|
目的 |
奥歯にバンドを装着し、歯を目的方向に動かします。 |
|
|
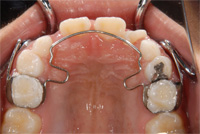
上あご側にワイヤーがはいっています。 |
|
目的 |
奥歯が前方に移動するのを防ぐ装置です。 |
|
※この装置を使う時は、他の装置の補助として使用します。 |
|
ブラケットをつけながら使用する場合もあります。 |
|
|
目的 |
歯を後ろに移動させる装置です。 |
|
※大人でも子供でも奥歯を確実に後ろに下げたいときに使用。 |
|
装置は内側ですが、前から4番目と6番目の歯に装着するため、少しバンドが見えます。 |
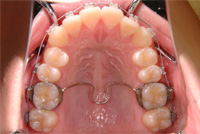
|
目的 |
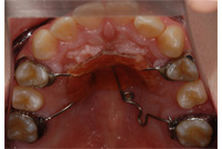
歯の裏側に付けて、歯列を広げる装置です。 |
|
内側にわっかが4つ付いています。 |
|
※成長期の歯列拡大に使用します。 |
|
目的 |
歯の裏側に付けて、歯列を広げる装置です。 |
|
内側にわっかが2つついています。 |
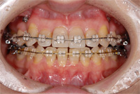
それぞれの歯に接着した装置をブラケットと言います。
細かい所まで調整可能で、細かくコントロールすることができます。
上下の歯に装着の場合、期間は2〜3年が目安です。
|
目的 |
歯の表面にブラケットを装着し、歯列を綺麗にする。 |
|
※着脱ができない固定式の治療です。 |
|
|
全て永久歯に生えそろってからの装着になります。 |
子供でも歯ぎしりをして、歯がすり減ってしまう事が有ります。
放っておけば、歯並びやあごの病気になることもあります。
寝ている時に・・・
ぎりぎりぎり・・・
かつかつかつ・・・
と、不思議な音が聞こえたら要注意です。
他にも、歯がすり減ったりします。
歯ぎしりは何が原因で起こるか、
今はまだはっきりと解明されていませんが、
マウスピースを使って進行を抑える事が出来ます。
|
型どりが出来れば何歳からでも |
